外科 15 胆嚢摘出術により急速な全身症状の改善をみたポメラニアンの胆嚢粘液嚢腫の1例

ポメラニアン、メス、8歳8ヶ月(推定)。体重2.86kg。1.5ヶ月前に副腎皮質機能亢進症と診断されop'-DDD投与を行っていた。発毛が次第にみられ経過で良好であったが、食欲減退し横になってぐったりしてしまったとのことで来院。嘔吐もあったという。1.5ヶ月前より胆汁うっ滞や胆嚢炎の合併も疑い治療を行っていた。慢性鼻炎の既往あり、室内中心、混合ワクチン最終6ヶ月前実施済、同居動物なし。
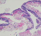
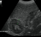
腹部エコー所見。胆嚢壁の肥厚(7.2mm)と中央の不動性胆泥。胆嚢粘液嚢腫と臨床診断した。 術中所見。胆嚢は暗赤色で固く拡大していた。直接生食を注入し総胆管を開通させた。 切除胆嚢所見。胆嚢壁は黒色粘液状物で裏打ちされ、内部に黒色の胆泥が凝縮されていた。 胆嚢の病理組織所見(強拡大)。胆嚢上皮は大部分が壊死・脱落していた。
経過:受診時、体温:37.2℃ 心拍数:66/分。可視粘膜蒼白。腹圧痛ないが熱感あり。CBCおよび血液生化学検査にてPCV42%, GPT>1000IU/L, ALP>3500IU/L, TBIL0.7mg/dl, GGT290IU/L, 腹部エコー検査にて胆嚢壁が中等度のエコー原性を示しながら著しく肥厚し(7.2mm), 中央の胆泥は体位を変化させても動かなかった。胆嚢粘液嚢腫が疑われた。ただちに胆嚢摘出術を実施することになったが、ACTが計測不能なほど延長しており(>1320秒)、手術適応不能であった。しかし、ビタミンK2の大量非経口投与を行い翌日のACTは129秒、他の凝固能検査でも正常値を示した。また2日間の強肝、輸液療法により起立し歩行する状態にまで状態が改善したので、その日輸血を行いながら手術を施行した。胆嚢を肝葉より剥離したところ、表面は暗赤色を呈し直径3cm位にまで大きくなりクルミのように固くなっていた。試験穿刺を試みたが液状物はまったく吸引されなかった。総胆管の開存性の確認は、体格が非常に小さく総胆管周囲のアプローチは困難であったので胆嚢周囲をガーゼで覆い胆嚢底から25Gの注射針を介して10mlの生食水を強い圧で注入して行ってみた。注入当初は非常に抵抗あったが、2ml程度注入しやや胆嚢が拡張してきてから突然抵抗がなくなり、10ml全てが注入され、総胆管の疎通性が確保された。その後、胆嚢管を結サツし胆嚢を切除した。その他の肝疾患の鑑別のため肝生検も行っておいた。術後、胆嚢を切開してみると、暗赤色の胆嚢壁は厚さ5mm程度の黒い泥状の粘液状物で裏打ちされ、その中心には弾力ある固さの黒色の胆泥が凝縮していた。胆嚢内容物を好気・嫌気培養検査に供したが細菌は検出されなかった。病理組織検査では急性化膿性胆嚢炎、すなわち胆嚢粘液嚢腫と診断された。内腔に大量の粘液を貯留し、胆嚢上皮は大部分が壊死・脱落していた。胆嚢壁は全層性に炎症が波及し、ヘモジデリンを貪食したマクロファージの集ゾクや各種炎症細胞浸潤と線維化が顕著に認められた。肝組織の方では、肝小葉がよく保たれ、胆嚢からの上行性の炎症波及による慢性肝障害がみられたに過ぎなかった。経過はきわめて良好で、術翌日よりよく歩くようになり食事も積極的に食べるようになった。術後4日後、全身状態は良好, GPT338IU/L, ALP2084IU/L, GGT 80IU/Lと確実に減少し、退院となった。
コメント:胆嚢粘液嚢腫は緊急外科手術適応です。放置すると胆嚢が破裂し腹膜炎を起こし、診断も治療も非常に困難になり予後不良となってしまいます。この症例の胆嚢壁も慢性炎症のためもろくなっていました。逆に手術で胆管のうっ滞を改善し、胆嚢を摘出すれば、閉塞性肝障害が解除され全身状態が改善されます。またこの疾患は副腎皮質機能亢進症に合併することが多いようです。高コレステロール血症が原因のひとつとも考えられるので、今後もop'-DDD治療等の継続が不可欠になってきます。
home|メール
Copyright(c) 2005-2007 Sagamigaoka Animal Clinic. All rights reserved.