呼吸器 1-e IPV療法により救命できた犬の急性非心原性肺水腫の1例

雑種犬、オス、13歳。体重10.6kg。3日間咳があり近医受診したが、同日夜呼吸困難悪化し当院夜間救急来院となった。
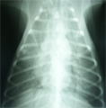
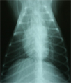
初診時。明らかなチアノーゼを呈し、呼吸促迫。 初診時胸部X線所見。びまん性肺胞浸潤影がみられた。Pao2 44 mmHg。 IPV治療中。数分でSpo2が69から92%に上昇した。 3日後のX線所見。浸潤影は消失。Pao2 94 mmHg。
経過:初診時、身体検査にて体温38.2℃。明らかなチアノーゼを呈し呼吸促迫。チアノーゼ、CBCおよび生化学検査にて白血球数 40900/μl(Sta818, Seg35583, Eos1023)と上昇、胸部X線にてびまん性肺胞浸潤影を示すが心陰影に形状異常なし(VHS=10.8, CTR=0.48)、心エコーにて左房拡張・MRを認めず、血液ガス分析にてpHa 7.50, Paco2 23 mmHg, Pao2 44 mmHg, [HCO3-] 18 mmol/L, A-aDo2 78 mmHg, P/F=210で、重度な低酸素血症を伴った慢性呼吸性アルカローシスを示した。そこで、非心原性肺水腫 またはAcute Lung Injuryと臨床診断した。酸素室管理とし、まずフロセミド2mg/kg IM q1hを2回、次にメチルプレドニゾロン125mgIVを1回投与したが、ともに反応せずびまん性肺胞浸潤影は次第に悪化した。治療開始8時間を経過してもPao2 46 mmHgにて改善みられず、スパンカー(パーカッションネア・ジャパン株式会社、東京)を用いたIPV療法を試みた。呼吸ヘッドに酸素マスクを取り付け、操作圧25psi、パーカッションレベルはHardに設定した。治療者は呼吸ヘッドを右手で保持しマスクを口吻部に密着するように当てながら、肺内パーカッションを始めた。後肢の趾間にSpo2のプローブを設置し連続的に経皮的酸素飽和度を観察した。治療直前にはSpo2は69%を示したが、1〜2分で92%にまでただちに上昇した。一回に15〜60秒程度パーカッションを継続した。初日に30分間を30分おきに7回、2日目に20分2回行った。はじめの4回を終了した時点で(IPV開始4h)でPao2は64mmHgに上昇し呼吸状態は改善した。2日目の朝にPao2 77 mmHg、3日目は IPV実施せずともPao2 94 mmHgと正常化し、びまん性肺胞浸潤影もほぼ消失し全身状態も改善し退院となった。
コメント:難治性肺水腫に対しIPV療法が奏功した1例です。
IPV療法は16年前から欧米で使用されはじめた新しい呼吸理学療法です。肺を昇圧せずに高頻度の陽圧換気により肺内を直接パーカッションし、排痰促進させます。通常の酸素マスクを介し実施可能です。毎分60−400サイクルの高速かつ高流量のジェット噴流と噴流毎の大気開放機構によって、末梢気道内分泌物に対するエアーハンマー効果による気道開通と気道内反転流による排痰効果が非常に迅速に発現します。さらにネブライザーも組み込まれ、気道内乾燥防止と効果的なエアロゾール療法も同時に実施できます。動物ではまだほとんど使用されておりません。本症例のようなARDSやALIの治療では、IPV療法の特徴である即効性を最大限に生かせると思われます。動物はマスクを当てられている時には、多くの場合息を止めています。息止めとジェット噴流の違和感のため1回の連続処置時間は15秒程度しか当てられないことがありますが、その短時間の中でも15-100回のジェット噴流が作用するため、本症例のような重症例でも数分で十分な初期効果をあげられたのだと考えられます。
home|メール
Copyright(c) 2006-2007 Sagamigaoka Animal Clinic. All rights reserved.