呼吸器 1-d 猫の急性間質性肺炎の1例

雑種猫、オス、9歳2ヶ月。体重5.24kg。2日前より呼吸速く次第に元気がなくなってきたとのことで夜間救急来院。
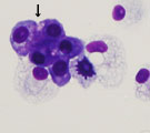
胸部X線。びまん性間質影がみられた。特発性心筋症の疑いもあり。 気管支鏡検査。粘膜は粥状の凹凸不整を示した 気管支肺胞洗浄液中に悪性腫瘍性を疑う細胞塊あり 肺病理組織。変性脱落した肺胞上皮細胞と硝子膜
経過:受診時、浅速呼吸(88/分)を呈する呼吸困難でほぼ横臥状態。胸部レントゲンはびまん性間質影を示した。12時間の酸素療法後、急性感染症/アレルギー/腫瘍性疾患の鑑別のため気管支鏡検査を施行。粘膜は全体的に粥状に凹凸不整を示した。気管支肺胞洗浄液(RB3, 回収率75%)には活性化マクロファージが91.5%を占め慢性炎症パターンを示し、一方好酸球やリンパ球はわずかでありアレルギーや免疫介在性疾患は否定された。細菌や真菌も検出されなかった。また、マクロファージにまみれ悪性腫瘍性を疑う細胞塊がみられた。悪性腫瘍性疾患の可能性あり呼吸困難も改善されなかったので極めて予後不良と判断し、飼い主様と話合い安楽死を選択した。肺と心について病理検索を行った。肺は左右のほぼ全域にわたり強い急性間質性肺炎を示した。線維化も散見されたが、肺胞上皮の変性脱落、好中球・活性化マクロファージ・形質細胞の浸潤、毛細血管の鬱血、間質の浮腫、および硝子膜形成などの滲出期DAD所見が主体であった。腫瘍細胞浸潤は認められなかった。心筋には特発性心筋症を示す病理所見はみられかった。BALの細胞診で異型細胞と思われたものは変性脱落した肺胞上皮細胞であったと考えられた。慢性の炎症性病変に何らかの刺激による強い急性炎が加わって形成された病変と考えられた。
コメント:DAD所見は急性呼吸促迫症候群(ARDS)の病理組織像です。ARDSは何らかの基礎疾患治療中に生じるものですが、誘因・原因が分からずこのような肺傷害が起こることがあるといいます。このような原因不明のARDSをヒトではとくに「急性間質性肺炎」といい、もっとも恐れられている呼吸困難の病態のひとつです。猫ではこのような呼吸困難が生じたという報告はまだありません。この症例の詳細はこちらへ
相模が丘動物病院のホームページ|メール
Copyright (C) 2011 Sagamigaoka Animal Clinic All Rights Reserved.