呼吸器 8-f 犬の気管虚脱GradeIVに対しシリコン製Tチューブ設置にて救急救命し、その後自己拡張型金属ステント設置まで2.5ヵ月間管理した1例

ヨーキー、メス、5歳10ヶ月。体重3.40kg。前夜、重度の喘鳴、チアノーゼ、失神を呈し、町田夜間動物病院にて重度の気管虚脱と暫定診断された。気管内挿管しないと呼吸できず、挿管したまま翌朝当院紹介受診となった。
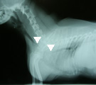
受診時。気管虚脱に対し気管内挿管の緊急処置が施されていた。 第1病日胸部X線写真。気管チューブを抜くと胸郭前口部で気管陰影消失(三角マーク間)。 引き続き、気管切開してシリコン製Tチューブを設置し気道確保した(マークはチューブ端を示す)。 第79病日、自己拡張型金属ステントに入れ替え、気管開存性と気道違和感が著明に改善した。
経過:町田夜間動物病院からの引継ぎで生命危機に関わる重度な気管虚脱であることが予想できたので、即座に慎重な治療計画を立てる必要性があった。気管内チューブ下では、違和感はあったが、room air吸入下でSpo2は97%を示し、肺機能は保てていた。Tチューブによる気道確保まで行う予定で万全の準備を整え、気管チューブを一度抜いた。予期していたとおり、ただちに呼吸困難とチアノーゼが生じた。すばやくビデオ透視と胸部X線撮影を実施し、ただちに麻酔導入し再挿管した。まず、将来的に自己拡張型金属ステント(Expandable metaric stent, EMS)を設置する可能性を考慮し、食道内にsizingカテーテルを挿入し気道内圧を20cmH2Oに保ち気管を拡張させX線撮影を行った。その後、気管支鏡検査にて、気管虚脱の範囲を同定し、また気管分岐部以降の虚脱がないことを確認した。Tチューブ設置のための気切部位は、X線所見と気管支鏡所見で同定した気管虚脱範囲の中点にあたる第5頚椎の部位とした。外径は輪状軟骨部の気管径の90%程度になるものを選び、8mmに決定した。気切孔から中枢側に大部分摺りこませ、口腔側へはガイドワイヤーを用い牽引して確実に引き寄せTチューブを設置した。設置後翌日より呼吸状態は改善し、食欲や一般状態もただちに回復した。術後管理は、1日2回のネブライゼーション(抗生剤、エピネフリン、生理食塩水、ステロイド)、Tチューブの気切部の栓を抜いて貯留痰の除去・吸引、1日2回の抗生剤の注射で行ったが、経過良好のため術後8日目に退院とした。自宅管理は、喀痰培養の結果に応じて抗生剤の処方を変えていったが、やはり入院時同様に1日2回のネブライゼーション、痰の除去、抗生剤の内服を継続した。Tチューブで管理中に、アメリカのEMSメーカーに気管sizingを含めた胸部X線写真の評価を依頼し、外径12mmX長さ52mmのステントを使用するよう指示された。ステント入手まで約1ヶ月程度を要した。しかしその間、軽度の咳がみられたがTチューブにて気管虚脱を十分よくコントロールできた。結局、オーナーと当院の都合が合い、犬の状態のよいときに(第79病日)、EMSへの交換を安全に無理なく行うことができた。EMS設置後、さらに状態は改善し、術翌日に非常に強く大きな声で吠えるになり、Tチューブ設置時より俊敏に動きまわるようになり、術後4日目に退院となった。第92病日、咳は消失した。
コメント:
home|メール
Copyright(c) 2005-2007 Sagamigaoka Animal Clinic. All rights reserved.