呼吸器 5-a 気管・気管支軟化症をともなった慢性気管支炎

ポメラニアン、メス、11歳7ヶ月。体重4.34kg。9ヶ月前より慢性発咳の治療を行っていたが症状の消退を繰り返していたので気管支鏡検査を行うことにした。
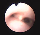
胸部気管の扁平化と気管分岐部周囲のtram line 胸部気管の気管支鏡所見。気管虚脱GradeII 気管虚脱は気管分岐部までみられた。 左後葉気管支では刀鞘型の気管支軟化がみられた。
経過:胸部レントゲンでは胸部気管の扁平化がみられた。動脈血酸素分圧は86.5mm Hgと正常範囲、動脈血炭酸ガス分圧は27.9mm Hgで換気障害はみられなかった。気管支鏡検査では、胸部気管において気管分岐部直前まで気管虚脱(GradeII)がみられ、左右後葉気管支に呼期に気管支が刀鞘型に潰れる気管支軟化症もみられた。粘膜は全体的に浮腫状を呈していた。気管支肺胞洗浄液(RB2, 回収率24%)では細菌・真菌は検出されず、軽度好中球の増加(15.75%)がみられマクロファージが活性化していた。細胞の背景には非常に細かい塵埃状物が多数みられた。気管・気管支軟化症をともなった慢性気管支炎と診断された。飼い主の家庭には1日20本程度の喫煙者が2人居り、犬の受動喫煙も原因のひとつである可能性が示唆された。現在、気管支拡張剤とステロイド剤の間欠投与で咳はコントロールしている。
コメント:気管・気管支がやわかくなっていて、胸を抱いたり、首を曲げたりしただけで気管が潰れて咳をするようになっています。ポメラニアンは気管虚脱が起こりやすい犬種とされていますが、さらに11年間の受動喫煙がこのような気道疾患を助長させていたかもしれません。
相模が丘動物病院のホームページ|メール
Copyright (C) 2011 Sagamigaoka Animal Clinic All Rights Reserved.