パネルディスカッションX【呼吸器系】
猫の気管支喘息をどうコントロールするか
猫の気管支喘息と診断した3例*
城下 幸仁1)
Yukihito SHIROSHITA
*Feline bronchial asthma in 3 cats
1) 相模が丘動物病院:〒228-0001
近年の猫の炎症性気道疾患モデルの研究により、猫喘息は、ヒト気管支喘息と同様に、可逆性の気道閉塞と気道の過敏性を示す慢性炎症性気道疾患といえる1。発作性発咳、喘鳴、呼吸困難の症状を示し、診断には他の心肺疾患の除外を必要とする。猫ではまだ明らかでないが、ヒトではその慢性炎症の実態は好酸球と活性化リンパ球の相互作用によって生じる気道の器質学的変化である。これは、平滑筋の肥大や過形成、上皮下基底膜の肥厚と線維化、気管支腺の過形成、杯細胞の過形成、上皮の肥厚などの構造変化を指し、気道リモデリングと呼ぶ。気道リモデリングはやがて非可逆的気道閉塞に移行していく。よって気管支喘息のコントロールは非可逆的なリモデリングの進展を防ぐためにステロイドによる抗炎症治療を主体とし、必要に応じて気道閉塞に対する気管支拡張治療を行うことがよいとされている。より早期から抗炎症治療を積極的に行うことが喘息のコントロール成功の鍵とされている2。猫喘息でも長期化すれば気道閉塞は非可逆化し肺気腫に陥ることがある3ので、この気道リモデリングの考え方は猫にも通じるものと考えられる。著者は猫の気管支喘息の診断基準を、1)慢性発作性発咳、2)心肺疾患、寄生虫感染および気道内異物を除外、3)気管支肺胞洗浄液中に好酸球増加(>25%)かつ有意な起炎菌陰性、とした。本稿ではそれらを満たした3例についてさまざまな内科コントロールを試みたので紹介する。
症例1
ソマリ、避妊済雌、8歳10カ月齢。室内飼育、混合ワクチン毎年接種。3ヶ月前より発作性発咳が毎日1-2回、20秒位続く。時間帯や興奮に関係なく突然始まる。咳の後は元気になる。食欲元気あり。
初診時一般身体検査所見:体重4.18 kg。体温39.0℃、心拍数168/分、呼吸数48/分。心音、肺音に異常なし。
CBCおよび血液生化学所見:好酸球増加(Eos 2332/μl)
動脈血ガス分析所見:pHa 7.43, Paco2 25 mmHg, Pao2 115 mmHg,
A-aDo2 7.1 mmHg
胸部X線検査所見:肺野および心陰影に異常を認めず(図1)。

図1 症例1の初診時胸部X線写真。肺野および心陰影に異常を認めなかった。
糞便検査: 直接および浮遊法にて虫卵(-)。
アレルゲン検査:羽毛、ハウスダスト、牛肉、卵、大豆、コーン、米、穀草、ジャガイモ、ビール酵母、マグロ、イワシ、カツオ、コットン、カポック、蚊に陽性
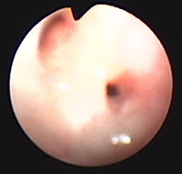
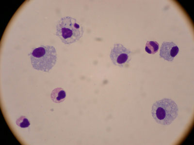
気管支鏡検査:第7病日に行った。肉眼所見で、左右主気管支内に白色円柱状物が多数みられた(図2)。ブラシ擦過細胞診にて、気管支粘膜上皮細胞、好酸球、杯細胞がみられた(図3)。気管支肺胞洗浄液(BAL)[RB2, 10ml×3, 回収率90%]にて総細胞数の軽度増加(421/μl)、好酸球数の増加(26.75%)がみられた。BAL液の培養にて細菌も真菌も検出されなかった。

図2 症例1の気管支鏡検査所見。左右主気管支内に白色円柱状物が多数みられた。

図3 図2の円柱状物の細胞診。気管支粘膜上皮細胞、好酸球、杯細胞がみられた。
臨床診断:猫気管支喘息
治療および経過:
気管支鏡検査後、去痰薬のみ(ビソルボン錠 2mg PO q12h)投与開始した。第21病日より食餌を変更しアレルゲンを除去し、空気清浄機などの室内環境も改善した。1週間後、咳は3−4回/週に減少し、第116病日に咳は完全消失した。現在1年3ヶ月経過しているが再発はみられない。
症例2
チンチラ、雄、7歳6カ月齢。室内飼育、混合ワクチン毎年接種。発作性発咳が1日1回程度20秒位続く。3年ほど前より生じ、次第に悪化し最近動きが少ない。
初診時一般身体検査所見:体重8.30 kg。体温38.9℃、心拍数180/分、呼吸数40/分。浅速呼吸あり、左右後葉域は肺音粗励。
CBCおよび血液生化学所見:特異所見なし(Eos 183/μl)
動脈血ガス分析所見:pHa 7.45, Paco2 33 mmHg, Pao2 73 mmHg,
A-aDo2 40.7 mmHgと軽度の低酸素血症
胸部X線検査所見:肺野にスリガラス状陰影、心陰影は不鮮鋭だが形状異常なし(図4)。

図4 症例2の初診時胸部X線写真。肺野にスリガラス状陰影、心陰影は不鮮鋭だが形状異常はみられなかった。
糞便検査:直接および浮遊法にて虫卵(-)。
気管支鏡検査:第12病日に行った。肉眼所見で、肺内気管支粘膜に浮腫・軽度発赤あり(図5)、BAL[RB3, 10ml×3, 回収率77.3%]に好酸球数の増加(33.2%)とマクロファージの活性化がみられ(図6)、培養にて細菌も真菌も検出されなかった。

図5 症例2の気管支鏡検査所見。肺内気管支粘膜に浮腫・軽度発赤がみられた。

図6 症例2の気管支肺胞洗浄液の細胞診。好酸球数の増加(33.2%)とマクロファージの活性化がみられた。
臨床診断:猫気管支喘息
治療および経過:
先ず、プレドニゾロン内服(10mg PO q24h)を開始し発作は消失したが、第49病日には内服に抵抗し投与不能となった。次に長期間作用型のメチルプレドニゾロン注射(4.0 mg/kg IM)を2−4週ごとに計5回行ない発作をコントロールしたが、第161病日、重度の肝障害(ALT>1000 U/l, AST 510 U/l, TBIL 2.0 mg/ dl)と糖尿病(GLU 516 mg/dl)を発症した。ステロイドの副作用と判断し投与を中止した。強肝療法および血糖管理を入院にて3週間行なった。退院時の体重は5.86kgと激減した。入院治療中、呼吸器症状は全くみられなかった。第192病日で呼吸器症状が再発し始めたので、ステロイド吸入療法を開始した。プロピオン酸ベクロメタゾン(ベコタイド50インヘラー、グラクソ・スミソン(株)、東京)の定量噴霧式吸入薬 meter dosed inhaler (MDI)を乳児用のスペーサー(エアロチャンバー, (株)アムコ、東京) に連結して、1日おきに1回2スプレーをスペーサー内に噴霧してから直接猫の口に当てて自宅にて行なってもらった(図7)。

図7 症例2のステロイド吸入療法実施の様子。スペーサーのマスク部分を顔にあてておこなった。
その後第248病日までほとんど発作なく全身状態は著明に改善した。表情が穏やかになり、夜間走りまわったり、高いところに飛び上がったり、以前には全くなかった行動をとり始めた。このとき気管支鏡検査を再び施行し、肉眼所見で可視範囲の気道粘膜の浮腫は消失、BAL解析では好酸球数が減少し(25.75%)、Gram染色で真菌も細菌も検出されなかった。胸部X線所見ではスリガラス状陰影は残存していた。ところが第279-450病日には吸入療法時に呼吸を止めたり抵抗したりするようになり、結局自宅で実施不能となった。そこで、第450-850病日に内服療法を再開し(プレドニゾロン 5→2.5mg+ビソルボン錠 4mg PO EOD)継続し、咳や発作が消失した。第850-1078病日には毎日仰臥時にほぼ必ず発作が生じるようになった。第1078-1270病日、排痰補助と薬剤吸入を目的にミニスパンカー(パーカッションネア・ジャパン株式会社、東京)を用いたIPV(Intrapulmonary Percussive Ventilation, 肺内パーカッション換気)療法を試みた。操作圧を20psiに設定し, 初めの5分間をネブライゼーション、次の10分間はレベルをEasyから中程度まで上げながらマスクを当ててパーカッションを行った(図8)。

図8 症例2のIPV療法実施中の様子。30秒程度継続してマスクをあてることができた。
実施中wedge圧を20-30psiに維持するようにした。30秒間程度は継続可能であった。薬剤には生食10ml+エピネフリン0.1ml(0.1mg)+ゲンタマイシン0.1ml(5mg)+デキサメサゾン0.1ml(0.1mg)を混じて噴霧した。処置後数日間は仰臥時の発作は消失し元気になった。IPV療法は週1回で4回実施し、その後月1回で行った。高血糖値傾向(176-197mg/dl)のためプレドニゾロンを週1回に減量した。第1365-1563病日(現在)、IPV療法は1ヶ月に1回、内服療法はプレドニゾロン 2.5mg PO 週1回・ビソルボン錠4mg PO EOD。血糖管理のため、Fw/dにて食事療法も行った。発作頻度は2-5回/月、血糖値は110-150mg/dl程度、体重は7.20-7.50kg程度にコントロールされるようになった。治療開始後4年5ヶ月経過し、月1回のfollow-upを継続し良好にコントロール中である。
症例3
アメリカンショートヘアー、未避妊雌、11カ月齢。室内飼育、混合ワクチン接種済。5ヶ月前より、くしゃみ、鼻汁、咳が始まり次第に悪化した。アレルギーを疑い、アレルゲン除去や環境改善を行うも症状不変。ステロイドと抗生剤投与で一時症状消失するが、投薬減量で症状が再発してしまう。
初診時一般身体検査所見:体重2.60 kg。体温39.0℃、心拍数160/分、呼吸数32/分。心音、肺音に異常なし。
CBCおよび血液生化学所見:好酸球増加(Eos 3128/μl)
血清学的検査:FeLV (-), FIV(-), FCoV(-)
鼻汁培養: 正常菌叢のみ
胸部X線検査所見:肺野にスリガラス状陰影、心陰影は不鮮鋭だが形状異常なし(図9)。

図9 症例3の胸部X線写真。肺野にスリガラス状陰影、心陰影は不鮮鋭だが形状異常はみられなかった。
糞便検査: 直接法および浮遊法にて虫卵(-)。
アレルゲン検査:ハウスダスト、鶏肉、卵、ミルク、米、七面鳥、大麦、玄米、穀草、ウール、マラセチア、カンジダ、プルラリアに陽性
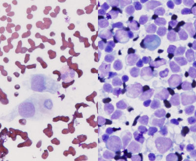
気管支鏡検査:第13病日に行った。肉眼所見で、可視範囲の気管支粘膜に軽度浮腫あり、気管分岐部と左右主気管支内に大きな黄色粘稠分泌物がみられた(図10)。LB1V1末梢のブラシ擦過標本の細胞診にて粘液、気管線毛上皮細胞、好酸球、リンパ球、好中球がみられ(図11左)、培養では陰性であった。BAL[RB3, 10ml×3, 回収率72%]では好酸球数の著しい増加(51.25%)とマクロファージの軽度活性化がみられ、培養にて細菌も真菌も検出されなかった。

図10 症例3の気管支鏡検査所見。気管分岐部に大きな黄色粘稠分泌物がみられた(写真右側)。他にも同様な粘稠分泌物が大量に気道壁に付着していた。

図11 症例3のLB1V1の末梢気管支ブラシ擦過標本の細胞診(左)と鼻咽頭粘膜ブラシ擦過標本の細胞診(右)。気管支には粘液、気管線毛上皮細胞、好酸球がみられた。写真にはないがリンパ球や好中球も他視野にみられた。鼻咽頭粘膜には大小リンパ球および形質細胞が多数みられた。
鼻腔鏡検査:気管支鏡検査と同時に行った。retroflex法により鼻咽頭を観察した。粘膜は充血発赤し、粘稠分泌物がみられた(図12)。ブラシ擦過標本の細胞診にて大小リンパ球および形質細胞が多数みられ(図11右)、培養では陰性であった。

図12 症例3の鼻腔鏡検査所見。粘膜は充血発赤し、粘稠分泌物がみられた。
臨床診断:猫気管支喘息およびリンパ球プラズマ細胞性鼻炎
治療および経過:
第21から140病日までに、プレドニゾロン2mg/kg PO SID→0.5mg/kg PO 週2回まで減量した。一方、去痰剤(ビソルボン錠 2mg)も同時に投与した。まだ軽度の咳が毎日みられたので、第140病日、症例2と同様に排痰補助と薬剤吸入を目的に週1回IPV療法を開始した。操作圧を15psiに設定し, 初めの5分間をネブライゼーション、次の10分間はレベルをEasyから中程度まで上げながらマスクを当ててパーカッションを行った(図13)。

図13 症例3のIPV療法実施の様子。比較的協力的であり2-3分程度は耐えていた。
実施中wedge圧を10-20psiに維持するようにすると比較的協力的となり、2-3分程度は耐えていた。薬剤には生食10ml+エピネフリン0.1ml(0.1mg)+ゲンタマイシン0.1ml(5mg)+デキサメサゾン0.1ml(0.1mg)を混じて噴霧した。処置後数日は非常に状態がよくなり咳とくしゃみが消失した。そこで第290病日からプレドニゾロン0.5mg/kg+ビソルボン錠 2mg POを週1回投与とした。第247病日まで週1回IPV療法を行った。ドキシサイクリン 1/4TSID-EOD POを加え、咳とくしゃみは週2回程度までにコントロールしていたが、発情兆候が現れると一時的に症状が悪化した。第261病日よりIPV 療法は2週に1回、ステロイド点鼻薬(フルナーゼ点鼻薬)を週2回始めた。第290病日に避妊手術を行った。末梢血好酸球数は1281/μlまで減少していた。咳とくしゃみは週1回程度に減少していたが、術後その頻度は減少しなかった。その後509病日まで、IPV療法は2週に1回、プレドニゾロン0.5mg/kg+ビソルボン錠 2mg POは週1回、点鼻薬は1日1回の投与を続けてきたが、次第に咳とくしゃみが毎日数回生じるようになり、現時点で再びステロイド薬増量の必要性が生じてきた。
考察
猫気管支喘息では気道リモデリングなどまだ解明されていない点が多いので、臨床経験を多く提示し、治療法の検討や今後の研究に生かすことが重要であると思われる。ヒトとは異なる機序で非可逆性気道閉塞に進展しているかもしれない。症例1-3の主な所見と治療概要を表1にまとめた。一般的な猫喘息の長期治療薬について表2に示した。なお吸入治療の臨床的効果についてはまだ明確な根拠はない。


症例1は、早期に診断でき、アレルゲン除去と去痰剤投与のみで喘息症状が約3ヶ月で消失した。猫喘息でのアレルゲンや非特異的気道内刺激物の役割はよく分かっていないが3、アレルギーとして症状が始まることもあることが示唆された。特徴的な所見は、気管支鏡検査にて気道内に好酸球を含む円柱状小粘液栓が多数みられたことである。末梢気道内での粘液の粘稠化と増量と好酸球浸潤が示唆された。同時に、この粘液栓の形成と排出が猫喘息の発作性発咳の直接の原因のひとつと考えられた。ヒトの気管支喘息患者でも同じような細気管支鋳型状粘液塊が痰の中に含まれ喘息の補助診断となっている。
症例2は、発症に気づいてから3年も経過してから治療開始された。初期にステロイドの副作用も認められ管理には非常に苦渋した。ヒトではステロイド吸入療法前の罹病期間が1年を過ぎると喘息症状の改善効果は低く、逆に6ヶ月以内では著明な改善がみられたという臨床研究データが示されている2,4。気道リモデリングの進展度がその理由であろうと考えられている。本症例ではステロイド吸入療法が一時有効であった5が、結局は非協力的となり継続できなくなった。ある程度拘束を必要とするがIPVによる理学療法はdrug deliveryという点で確実であった。理学療法は器質的構造変化を改善させることはできないが、定期的な粘液除去によって気道開存し、長期間のQOLを維持できると期待される。実際、処置中何度か咳がみられるが処置後表情がよくなり、飼い主も効果を実感している。IPV療法は、肺を昇圧せずに高頻度の陽圧換気により肺内を直接パーカッションし、排痰促進させる新しい呼吸理学療法である。通常の酸素マスクを介し実施可能である。毎分60〜400サイクルの高速かつ高流量のジェット噴流と噴流毎の大気開放機構によって、末梢気道内分泌物に対するエアーハンマー効果による気道開通と気道内反転流による排痰効果が非常に迅速に発現する。さらに、手のひらほどの呼吸ヘッドと呼ばれる装置内にはネブライザーも組み込まれ、気道内乾燥防止と効果的なエアロゾール療法も同時に実施できる。ヒトでは、慢性閉塞性肺疾患の在宅治療を中心に呼吸療法として導入され、未熟児から成人・高齢者まで幅広く臨床実績をあげている。
症例3は、末梢血中に多量の好酸球がみられ、リンパ球プラズマ細胞性鼻炎を合併していた。アレルゲン除去を含めて、比較的早期に診断し治療を開始したにもかかわらず、コントロールは困難であった。末梢血好酸球の著明な増加6や上気道症状合併は難治化要因のひとつかもしれない。ヒトでも鼻副鼻腔炎と小児喘息との関係が示唆されている7。今後、ステロイド投薬頻度増加や免疫抑制剤治療が必要となるかもしれない。猫における若齢期の上気道症状と喘息症状の合併に関しては経過要注意かもしれない。
長期作用型ステロイドは症例2のように重大な副作用が生じる可能性がある3。また、吸入療法も猫が呼吸を止めれば効果は期待できない。症例1のように粘液栓形成は猫喘息の発作性発咳の原因のひとつと考えられ、粘液栓が中枢気道まで及んで排出不能となり死亡した例8がみられることを考慮すると粘液産生過剰自体が非可逆性気道閉塞に関与しているかもしれない。したがって、粘液排出を補助し吸入薬剤投与を確実にするIPVによる理学療法はステロイド全身投与の副作用を危惧する必要なく、病態進行を阻止できる可能性がある。設定、時間、頻度、薬剤など実施方法はまだ検討の余地はあるが、今後新しい猫喘息の管理法のひとつとして期待できる。
猫喘息と診断されたら、ステロイドと去痰薬の内服投与を主体として、状態や治療反応に応じ様々な併用療法を行うのがよいと思う。Padridは猫の呼吸症状の頻度(連日か否か)と程度(日常生活に影響あるか否か)を判断し、状態をステップ評価しそれに応じた治療法を提案している1。ヒトでも発作頻度とピークフローに日内変動値に応じてステップ評価されており、各ステップに応じておおよその治療ガイドラインが定められている9,10。まずはこのような指針を参考にするとよいかもしれない。いずれにしても猫でも早期に抗炎症治療を開始することが重要である。
参考文献
1. Padrid P: Feline asthma. Diagnosis and treatment, Vet Clin North Am Small Anim Pract, 30, 1279-1293 (2000).
2. Selroos O, Pietinalho A, Lofroos AB, et al: Effect of early vs late intervention with inhaled corticosteroids in asthma, Chest, 108, 1228-1234 (1995)
3. Bay JD, Johnson LR: Feline Bronchial Disease/Asthma, In: King LG, ed. Textbook of Respiratory Diseases in Dogs and Cats, 388-396, SAUNDERS, St.Louis (2004)
4. Panhuysen CI, Vonk JM, Koeter GH, et al: Adult patients may outgrow their asthma: a 25-year follow-up study, Am J Respir Crit Care Med, 155, 1267-1272 (1997)
5. 城下幸仁, 松田岳人: 気管支鏡検査により猫喘息と診断し、ステロイド吸入療法で管理した1例, 第6回日本臨床獣医学フォーラム年次大会2004, 東京, vol.6-1, 6-46~47 (2004)
6. Dye JA, McKiernan BC, Rozanski EA, et al: Bronchopulmonary disease in the cat: historical, physical, radiographic, clinicopathologic, and pulmonary functional evaluation of 24 affected and 15 healthy cats, J Vet Intern Med, 10, 385-400 (1996)
7. Smart BA, Slavin RG: Rhinosinusitis and pediatric asthma, Immunol Allergy Clin North Am, 25, 67-82 (2005)
8. Padrid PA, McKiernan BC: Tracheobronchoscopy of the Dog and Cat, In: Tams TR, ed. Small Animal Endoscopy, 2nd ed, 377-396, Mosby, St.Louis (1999)
9. Bousquet J, Clark TJ, Hurd S, et al: GINA guidelines on asthma and beyond, Allergy, 62, 102-112 (2007)
10. 福田健:【アレルギー研究の最先端】 成人喘息ガイドライン2006, 医学のあゆみ, 220, 953-957 (2007)